Adjusting the display brightness is one of the most important factors for optimal image quality visualization. A proper setup displays a complete grey scale. The lowest levels should just disappear into the black background and the highest white should be bright, but not saturated.
Following can be done to adjust the display brightness of the device for adequate visualization.

Display calibration
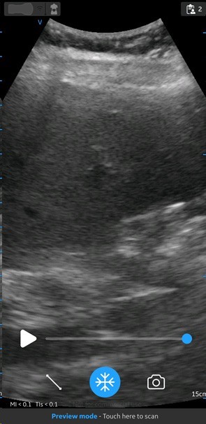
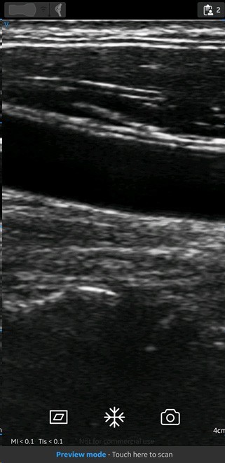
There are example reference images available in the ‘Preview mode’. These images can be used to adjust the brightness level of the device, so that a full range of grey scale level is visible.
Recommended example images: Abdominal preset on Curved and MSK preset on Linear transducer.

Screen with preview mode

Abdominal preset with curved

MSK preset with linear
It is also recommended to turn off adaptive brightness and display filters.
Disclaimer: The information herein is not intended to replace the product’s User Manual. Please consult the User Manual for comprehensive information and cautionary guidance about the product’s operation and use.